Orthodontic Treatment Performed by Julie Ann Staggers DDS, MS - Page 4
Transform Your Smile, Change Your Life
| Anterior Crossbite: Upper front teeth are inside the lower front teeth | |
![]() |
|
| Before | After |
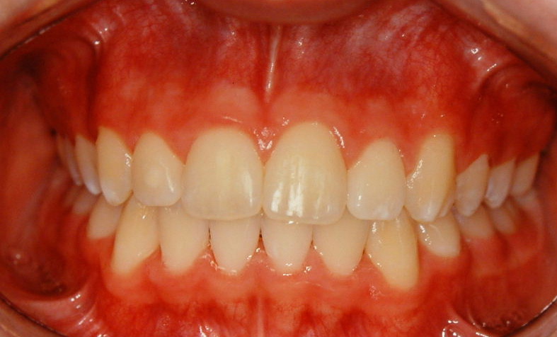
| Moderate Crowding: Moderate crookedness of the teeth | |
| Before | After |
| Anterior Crossbite: Upper front teeth are inside the lower front teeth | |
| Before | After |
| Mild Crowding: Mild crookedness of the teeth | |
| Before | After |
| Spacing: Gaps between the teeth | |
| Before | After |
| Moderate Crowding: Moderate crookedness of the teeth | |
![]() |
![]() |
| Before | After |
Orthodontic Treatment by Julie Ann Staggers DDS, MS.
Each patient presents with his or her own unique problems. Individual results may vary.
Go To: Page 1| Page 2| Page 3| Page 4| Back to Before & After Gallery Page



